توريد وتفتيح اللثة: ابتسامة وردية وصحية بثقة
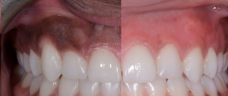
توريد وتفتيح اللثة: ابتسامة وردية وصحية بثقة توريد اللثة هو أحد إجراءات تجميل الأسنان الحديثة التي تهدف إلى تحسين لون اللثة الداكن أو المصطبغ، وإعادتها إلى اللون الوردي الطبيعي، مما يمنح الابتسامة مظهرًا أكثر جمالًا وتناسقًا. ويُعد هذا الإجراء خيارًا مثاليًا للأشخاص الذين يعانون من اسمرار اللثة بسبب عوامل مختلفة. توريد اللثة هو إجراء تجميلي … تابع قراءة توريد وتفتيح اللثة: ابتسامة وردية وصحية بثقة
انسخ والصق هذا الرابط إلى موقع الووردبريس الخاص بك لتضمينه
انسخ والصق هذا الكود إلى موقعك لتضمينه