تجميل اللثة
تجميل اللثة هو مجموعة من الإجراءات الطبية التجميلية التي تهدف إلى تحسين شكل ومظهر اللثة والابتسامة بشكل عام. يساعد هذا الإجراء في علاج مشكلات مثل الابتسامة اللثوية، عدم تناسق خط اللثة، تصبغات اللثة الداكنة، أو انكشاف جذور الأسنان، مما يمنح المريض ابتسامة أكثر تناسقًا وصحة وثقة.
يتم تجميل اللثة باستخدام تقنيات حديثة، أبرزها تجميل اللثة بالليزر، أو عبر تدخلات جراحية دقيقة حسب حالة كل مريض.

قد يكون تجميل اللثة هو الحل المناسب في الحالات التالية:
-
الابتسامة اللثوية: ظهور جزء كبير من اللثة عند الابتسام.
-
عدم تناسق خط اللثة: اختلاف مستوى اللثة من سن لآخر.
-
تضخم اللثة: نتيجة التهابات مزمنة أو بعض الأدوية.
-
تصبغات اللثة الداكنة: بسبب التدخين أو عوامل وراثية.
-
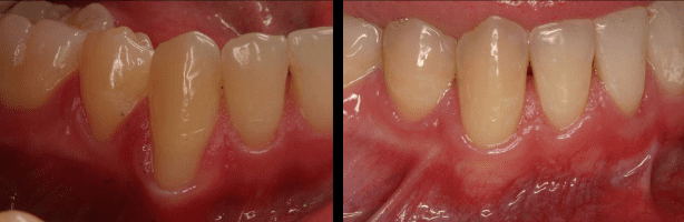
انحسار اللثة وانكشاف الجذور: ما يؤثر على الشكل والحساسية.
احجز استشارتك الآن
احجز موعدًا الآن في عيادتنا للحصول على استشارة بخصوص تجميل اللثة
يتم إزالة الأنسجة اللثوية الزائدة لإعادة رسم خط اللثة بشكل متناسق، مما يجعل الأسنان تبدو أطول وأكثر جمالًا.

.اعرف أكثر عن الابتسامة اللثوية من خلال هذا المقال: الابتسامة اللثوية: الأسباب، العلاج، وأفضل الحلول التجميلية
تُستخدم هذه التقنية لعلاج انحسار اللثة وتغطية جذور الأسنان المكشوفة باستخدام أنسجة لثوية ذاتية أو تقنيات زراعة حديثة.

يتم إزالة التصبغات الداكنة واستعادة اللون الوردي الطبيعي للثة، وغالبًا باستخدام الليزر.

.اعرف أكثر عن توريد وتفتيح اللثة من خلال هذا المقال: توريد وتفتيح اللثة: ابتسامة وردية وصحية بثقة
-
دقة عالية في إعادة تشكيل اللثة
-
ألم أقل مقارنة بالجراحة التقليدية
-
نزيف أقل وتعقيم أفضل
-
سرعة في الشفاء
-
نتائج تجميلية فورية وملحوظة
قبل الإجراء، يقوم الطبيب بتقييم حالتك بدقة. يجب أن تكون:
-
خاليًا من أمراض اللثة النشطة والتهابات اللثة
-
لا تعاني من مشاكل سيولة الدم
-
لا تعاني من أمراض مناعية غير مستقرة
-
مستعدًا لتقليل أو إيقاف التدخين
-
لا تعاني من حساسية مفرطة بالأسنان
يتم الإجراء غالبًا تحت تخدير موضعي.
نعم، في معظم الحالات تكون النتائج طويلة الأمد، خاصة عند الالتزام بتعليمات العناية بالفم، والمتابعة الدورية مع طبيب الأسنان.
إذا كنت تعاني من ابتسامة لثوية أو عدم تناسق اللثة، فإن تجميل اللثة قد يكون الحل الأمثل لك. التقنيات الحديثة، خاصة الليزر، جعلت الإجراء أكثر أمانًا وراحة ونتائج.
احجز استشارتك الآن
احجز موعدًا الآن في عيادتنا للحصول على استشارة بخصوص تجميل اللثة
